Dr. Denis Malyutin
Specialization:
Aesthetic prosthodontics, implantology, and digital dentistry.
Professional experience:
over 20 years.
This clinical case is notable for the use of a single standard abutment with a 45° angulation in a clinically challenging scenario. This approach allowed for optimal prosthetic positioning while minimizing the extent of surgical intervention.
Patient Information and Initial Clinical Situation
Treatment objective: Full-arch restoration of the mandible.
Initial clinical assessment:
- The posterior regions of the mandible had been edentulous for an extended period, resulting in significant alveolar ridge atrophy. Implant placement in these areas was not feasible without guided bone regeneration (GBR).
- In the anterior region, six teeth remained along with two retained root fragments. The condition of the remaining teeth was poor, with an unfavorable prognosis for long-term preservation.
Treatment Plan
As preservation of the remaining teeth was deemed non-viable, the following clinical approach was adopted:
- Extraction of all non-restorable teeth and retained root fragments.
- Surgical reduction of the alveolar ridge to establish a level and predictable bone foundation.
- Placement of four dental implants in the anterior mandible, where bone density was sufficient and the risk to the mandibular nerve and other critical anatomical structures was minimal.
- Fabrication and placement of a screw-retained full-arch restoration supported by these four implants: initially a temporary prosthesis, followed by a permanent restoration after osseointegration.
During the preoperative planning phase, it was identified that one implant (marked ’45’ in the illustration) would require placement at a significantly steeper angulation than is typical for this type of procedure, necessitating careful prosthetic planning and the use of an appropriately angled abutment.

To compensate for the pronounced implant angulation and to align the screw access channel with the occlusal plane, a 45° angled abutment from the XGATE Dental product line (Germany) was selected. This abutment facilitated proper prosthetic positioning while maintaining optimal load distribution.
Digital Workflow
It is important to emphasize that a fully digital workflow was essential for managing the complexity of this case.
- Implant positioning, including the selection of length and diameter, was carefully planned using a three-dimensional (3D) digital model.
- The full-arch restoration was designed entirely in a virtual environment, generating all necessary data for precise fabrication and ensuring accurate prosthetic outcomes.
Two surgical guides were designed and fabricated as part of the digital workflow:
- The first guide facilitated alveolar ridge reduction (alveoplasty).
- The second guide was used for precise, guided placement of the dental implants.
Surgical Procedure and Initial Steps
The treatment began with preparation for tooth extraction and alveoplasty.
1. Following administration of local anesthesia, the surgeon reflected the soft tissues and prepared the underlying bone to ensure proper seating and stability of the alveoplasty surgical guide.

2. Using the first surgical guide, the incision line was precisely marked, and alveoplasty of the alveolar ridge was performed concurrently with the extraction of all remaining non-restorable teeth and root fragments. This approach allowed for the creation of a level and predictable bone foundation for subsequent implant placement.
3. Following completion of the alveoplasty, the implant placement guide was accurately seated, and four dental implants were placed in the planned positions within the anterior mandible. This guided approach ensured precise implant angulation and spacing, while minimizing the risk to critical anatomical structures.
4. Immediately following implant placement, XGATE Dental D-Type multi-unit abutments with a height of 3 mm were seated: two straight abutments in the central positions, one 30° angled abutment on the right, and one 45° angled abutment on the left. This configuration facilitated proper prosthetic alignment and ensured optimal emergence of the screw access channels.
45°
30°
Straight
As shown in the image, the 45° angled abutment was positioned higher above the bone level compared to the other abutments. To achieve proper soft tissue integration and to harmonize the gingival contour around the abutment, a connective tissue graft was placed (see image below).
5. Subsequently, the soft tissues were closed using standard suturing techniques, ensuring primary closure and optimal conditions for healing.
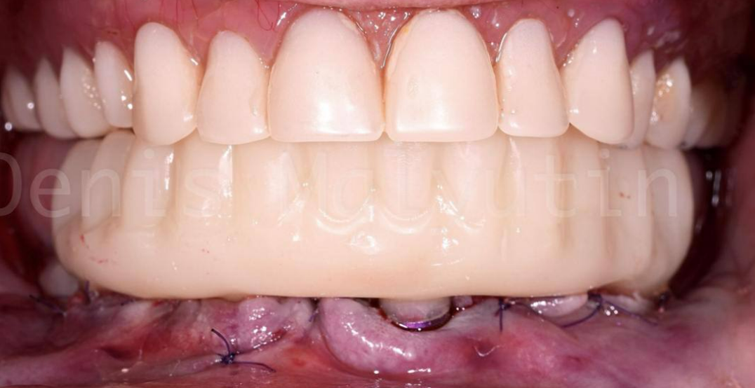
6. On the same day, the patient received a pre-fabricated, screw-retained temporary restoration, designed and manufactured in advance as part of the digital workflow. The prosthesis provided immediate functional and aesthetic rehabilitation while supporting the soft tissues during the healing period.
It is important to note that Rosen conical screws were used for prosthesis retention. The design of these screws allows for secure fixation without the need for additional bushings, ensuring a stable and precise connection between the prosthesis and the abutments.
Clinical Outcome
At the conclusion of the surgical and prosthetic procedures, the patient was able to immediately use the temporary restoration while adhering to all post-operative instructions.
Following the completion of soft tissue healing and implant osseointegration, a permanent screw-retained restoration will be fabricated and placed, providing long-term functional stability, optimal load distribution, and satisfactory aesthetic results.
XGATE Dental Products Used in Case Study
This clinical case utilized XGATE D-Type multi-unit abutments with straight, 30°, and 45° angulations for a full-arch mandibular rehabilitation.
Download Resources
Get the complete case study and explore our product catalog
Case Study • PDF • 1.9 MB
📥 Download Case StudyProduct Catalog • Online
🔍 View Product CatalogWe hope you found this clinical case interesting. If you have any questions about the characteristics and delivery of XGATE Dental products, please contact us in any convenient way.
XGATE Dental Group GmbH
Falkensteiner Straße 77, 60322
Frankfurt am Main
Germany
E-mail: [email protected]
350 W Passaic
St Rochelle Park, NJ 07662
United States
Disclaimer: Any medical or scientific information provided in connection with the content presented here makes no claim to completeness and the topicality, accuracy and balance of such information provided is not guaranteed. The information provided by XGATE Dental Group GmbH does not constitute medical advice or recommendation and is in no way a substitute for professional advice from a physician, dentist or other healthcare professional and must not be used as a basis for diagnosis or for selecting, starting, changing or stopping medical treatment.
Physicians, dentists and other healthcare professionals are solely responsible for the individual medical assessment of each case and for their medical decisions, selection and application of diagnostic methods, medical protocols, treatments and products.
XGATE Dental Group GmbH does not accept any liability for any inconvenience or damage resulting from the use of the content and information presented here. Products or treatments shown may not be available in all countries and different information may apply in different countries. For country-specific information please refer to our customer service or a distributor or partner of XGATE Dental Group GmbH in your region.











