
Dr. Dmitry Oleynikov
With twenty years of clinical experience, he has specialized in implantology and complex prosthodontic restorations for over four years.
Workplace: Almaty, Kazakhstan
This clinical case is of interest due to the elegant solution that allowed for the preservation of vital tooth roots and the restoration of the dentition using a screw-retained prosthesis.
The case was provided by two-time Kazakhstan Endodontic Champion, Dr. Dmitry Oleynikov (Almaty). With twenty years of clinical experience, he has specialized in implantology and complex prosthodontic restorations for over four years.
A digital protocol was utilized for surgical planning and prosthesis fabrication. This approach enabled a superior aesthetic result and ensured a tight soft tissue seal against the prosthesis surface — a result that would have been difficult to achieve without XGATE V-Type multi-unit abutments.
Initial clinical situation
The patient presented with complications related to a PFM bridge supported by teeth 13, 15, and 17. The root of tooth 15 was compromised, causing pain and severe discomfort for the patient.
Treatment plan and its stages
The old PFM bridge was removed, followed by the extraction of the root remnants of tooth 15.

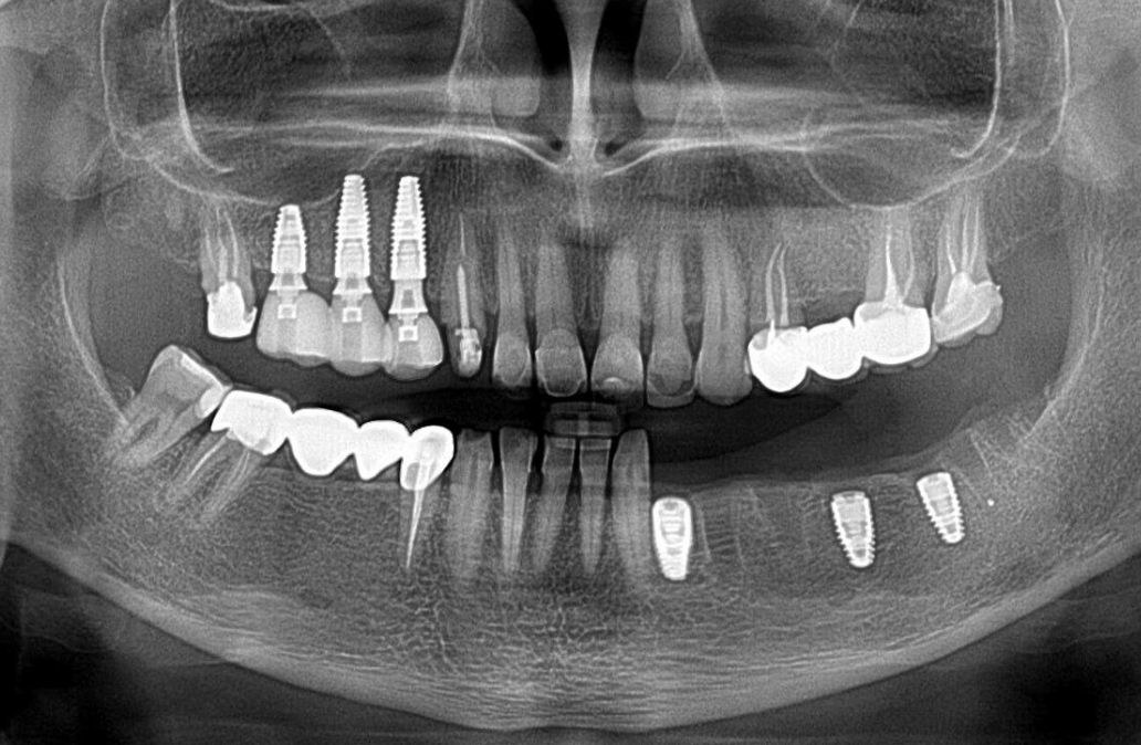
Three Straumann BL® implants with a standard conical connection were placed in positions 14, 15, and 16. Notably, a short implant was selected for position 16 to avoid penetrating the maxillary sinus and perforating the Schneiderian membrane (see radiograph below).

Restorations in the posterior region are subject to high functional loads; using three implants ensures optimal load distribution, favoring a positive long-term prognosis.
The prosthesis was fabricated from zirconia using CAD/CAM technology. Practitioners will be particularly interested in the choice of multi-unit abutments: V-Type from the German brand XGATE. Please note the profile height and sleeve design in the illustration below.

On the left is a classic multi-unit abutment with a standard cone; on the right is the MUA V-Type with an ultra-low profile. This design allows for increased material thickness at the base of the restoration, enhancing strength and ensuring a smooth emergence profile favorable for soft tissue attachment.
In addition, the MUA V-Type sleeve connection offers increased stability compared to classic multi-unit abutments. This is due to the larger contact surface area between the sleeve and the abutment base: while a classic MUA has a contact area of 6 mm², the V-Type offers 10 mm².
The illustration shows V-Type multi-unit abutments prior to the prosthetic stage: two abutments with a height of 2mm and one abutment with a height of 0.5mm.
| Tooth Position (FDI) | MUA Type & Gingival Height |
|---|---|
| #14 | V-Type MUA – 2 mm |
| #15 | V-Type MUA – 2 mm |
| #16 | V-Type MUA – 0.5 mm |
| Total: 3 Positions | 2× GH 2mm • 1× GH 0.5mm |
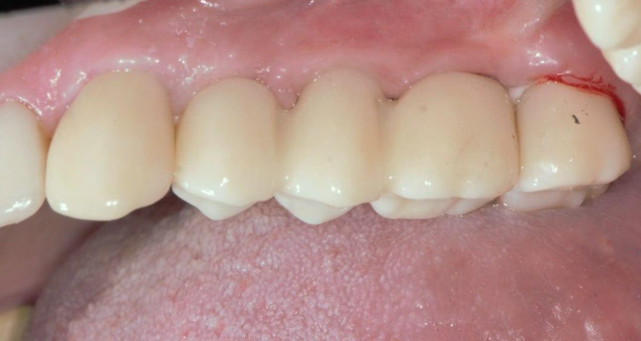
Teeth 13 and 17 remained vital; therefore, crowns were fabricated for these prepared teeth.

The screw-retained zirconia bridge and the crowns on teeth 13 and 17 show a precise fit, as seen in the photo below.

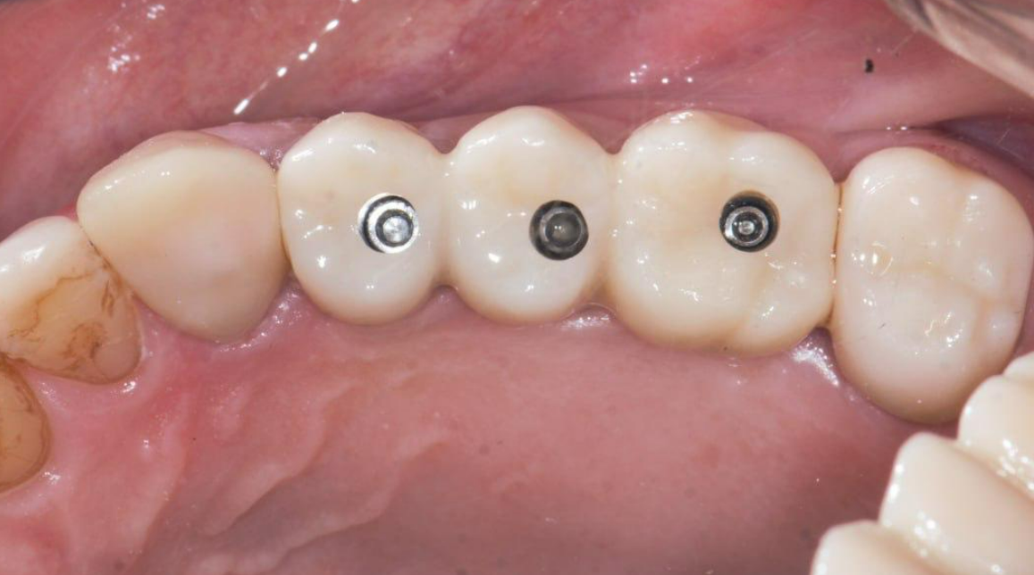
The completed restoration, with sealed screw access holes, is aesthetically pleasing and anatomically correct. Masticatory function is fully restored, and the patient is completely satisfied with the result.

The gingival contour around the prosthesis is well-defined; the papillae completely fill the embrasures, and a band of attached keratinized gingiva is clearly visualized and anatomically correct.

The radiograph confirms the integrity of the restoration; marginal bone levels around the implants remain stable.
XGATE Dental Products Used in Case Study
This clinical case utilized XGATE V-Type multi-unit abutments compatible with 15° Morse taper connection implants to replace an old bridge with a screw-retained zirconia restoration in the posterior maxilla.
Download Resources
Get the complete case study and explore our product catalog
Case Study • PDF • 2.7 MB
📥 Download Case StudyProduct Catalog • Online
🔍 View Product CatalogWe hope you found this clinical case interesting. If you have any questions about the characteristics and delivery of XGATE Dental products, please contact us in any convenient way.
XGATE Dental Group GmbH
Falkensteiner Straße 77, 60322
Frankfurt am Main
Germany
E-mail: [email protected]
350 W Passaic
St Rochelle Park, NJ 07662
United States
Disclaimer: Any medical or scientific information provided in connection with the content presented here makes no claim to completeness and the topicality, accuracy and balance of such information provided is not guaranteed. The information provided by XGATE Dental Group GmbH does not constitute medical advice or recommendation and is in no way a substitute for professional advice from a physician, dentist or other healthcare professional and must not be used as a basis for diagnosis or for selecting, starting, changing or stopping medical treatment.
Physicians, dentists and other healthcare professionals are solely responsible for the individual medical assessment of each case and for their medical decisions, selection and application of diagnostic methods, medical protocols, treatments and products.
XGATE Dental Group GmbH does not accept any liability for any inconvenience or damage resulting from the use of the content and information presented here. Products or treatments shown may not be available in all countries and different information may apply in different countries. For country-specific information please refer to our customer service or a distributor or partner of XGATE Dental Group GmbH in your region.
