
“My professional work primarily focuses on implant prosthetics. I actively strive to integrate the use of intraoral scanners into everyday clinical practice and fully embrace modern trends in digital dentistry.”
Before moving on to a detailed description of the case, it is advisable to briefly outline the key features of the XGATE Dental MUA V-Type compared to most market alternatives, as these components made the implementation of this clinical protocol possible.



Besides, these abutments are available with ultra-low sleeves measuring just 0.5 mm in height. In clinically challenging situations, they can be used as support elements without forming a screw shaft, avoiding structural weakness in the prosthesis. This approach is also justified in cases where the intended screw channel exit point is located on the buccal surface, potentially compromising the aesthetics of the restoration.

Let’s return to our case.
Patient Summary
Patient: Female, 44 years old
Complaints: Aesthetic and functional discomfort, as well as a desire to replace the previously installed metal-ceramic restoration.

Periodontal status: Significant periodontal pathology was noted: deep periodontal pockets, along with supra- and subgingival calculus and plaque. Grade II tooth mobility was diagnosed in the maxilla; localized deep periodontal and bony defects were observed in specific segments of the mandible. Functional overload caused by a prognathic bite was also detected.
Treatment Plan and Implementation
Based on 3D computed tomography data and a clinical examination, comprehensive oral rehabilitation was planned.
Maxilla: The plan included removing the old prosthesis and teeth, placing dental implants, and fabricating a new prosthesis using a one-stage implantation protocol with immediate loading. Six implants were planned.
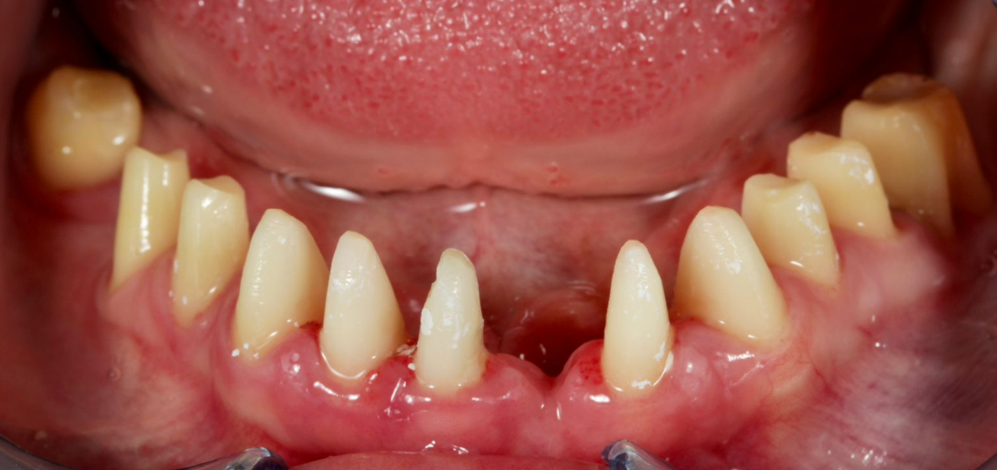
Mandible: Despite Grade I-II tooth mobility, taking the patient’s wishes into account, it was decided to preserve her natural teeth as much as possible. Only tooth 3.1 was indicated for extraction. Prosthetic restoration of the lower jaw was performed using prepared teeth with preserved vital roots.

Six standard-diameter Neobiotech dental implants were placed in the maxilla; no narrow-diameter implants were used.

Using an intraoral scanner, a digital impression was obtained. Based on this, a temporary fixed bridge made of PMMA plastic was milled from premilled blanks. The use of premilled blanks ensures high precision and an optimal passive fit of the structure due to the standardized implant/abutment interface.
The patient wore the implant-supported provisional prosthesis for six months.
After the completion of the osseointegration period, straight XGATE V-Type multi-units were selected to manufacture the permanent restoration.
Implant Placement Diagram
| Tooth Position (FDI) | Implant System | MUA Type & Gingival Height |
|---|---|---|
| #11 | Neobiotech (Standard Ø) | XGATE V-Type MUA — 1 mm |
| #13 | Neobiotech (Standard Ø) | XGATE V-Type MUA — 3 mm |
| #17 | Neobiotech (Standard Ø) | XGATE V-Type MUA — 3 mm |
| #21 | Neobiotech (Standard Ø) | XGATE V-Type MUA — 1 mm |
| #24 | Neobiotech (Standard Ø) | XGATE V-Type MUA — 1 mm |
| #26 | Neobiotech (Standard Ø) | XGATE V-Type MUA — 1 mm |
| Total: 6 Implants | 6× Neobiotech | 6× XGATE V-Type MUA (Straight) |


Based on the thickness of the soft tissues, the patient received:
- MUA V-type – 1 mm – in positions 21, 24, 26 and 11
- MUA V-type – 3 mm – in positions 13 and 17
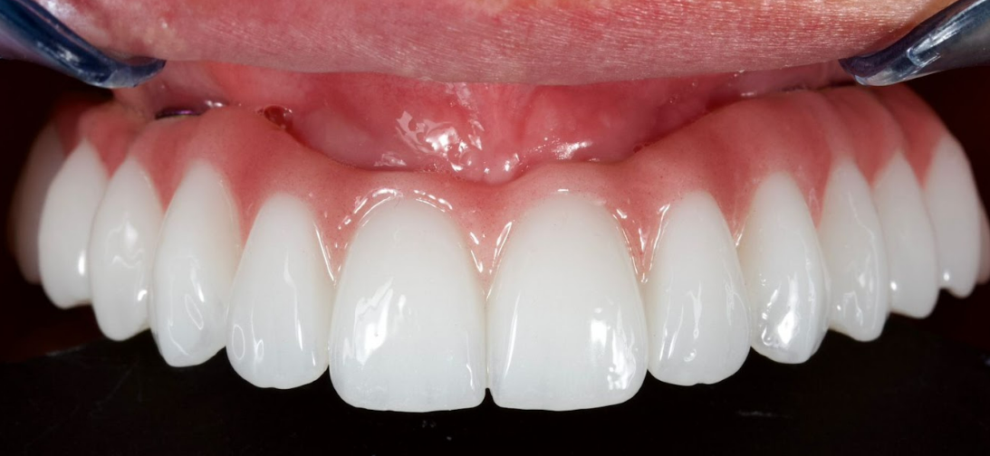
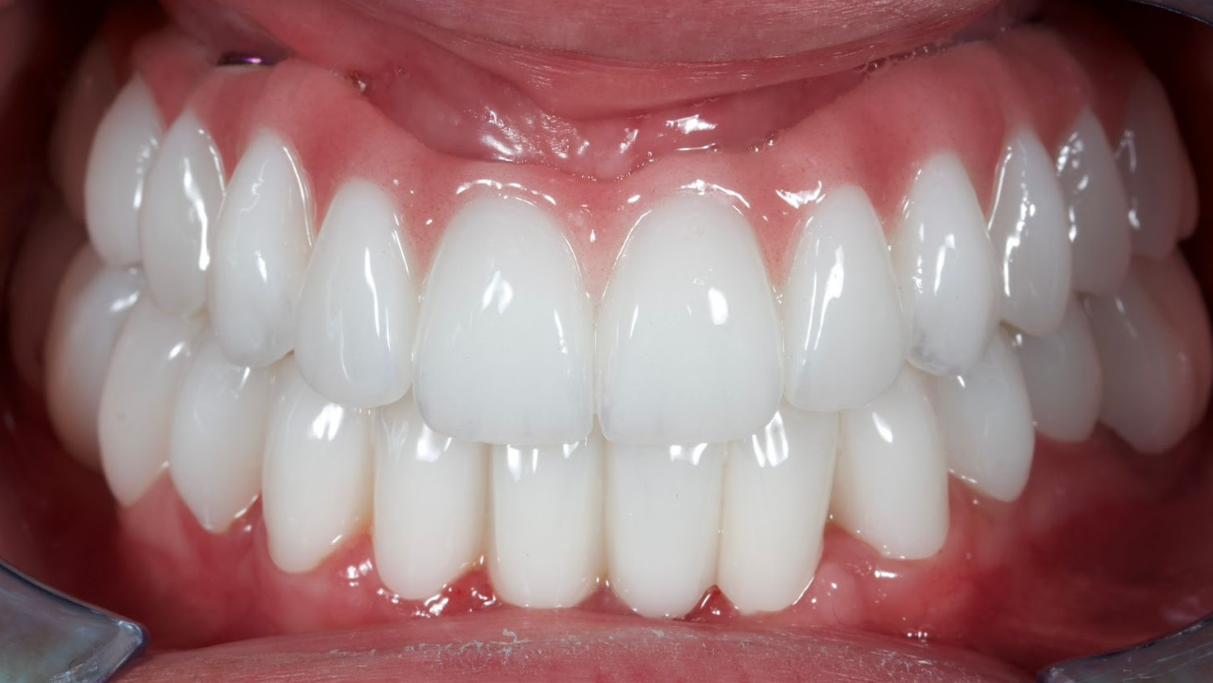
Next, using CAD/CAM technologies, a fixed, full-contour zirconia bridge was manufactured, designed for screw retention on titanium sleeves.


The final impression was performed using XGATE digital scan bodies, which made it possible to maintain a fully digital workflow at all stages of treatment.

At implant sites 16 and 23, an angled screw channel technique using Torx-type screws was employed to optimize the positioning of the screw access hole.
The following images show the final treatment result. The patient expressed complete satisfaction with both the functional outcome and the aesthetic aspects of the restoration.



XGATE Products: Maxillary Rehabilitation Case
The products selected for this digital workflow include V-Type abutments for a low profile and angled screw channel solutions.
Download Resources
Get the complete case study and explore our product catalog
Case Study • PDF • 11.4 MB
📥 Download Case StudyProduct Catalog • Online
🔍 View Product CatalogWe hope you found this clinical case interesting. If you have any questions about the characteristics and delivery of XGATE Dental products, please contact us in any convenient way.
XGATE Dental Group GmbH
Falkensteiner Straße 77, 60322
Frankfurt am Main
Germany
E-mail: [email protected]
350 W Passaic
St Rochelle Park, NJ 07662
United States
Disclaimer: Any medical or scientific information provided in connection with the content presented here makes no claim to completeness and the topicality, accuracy and balance of such information provided is not guaranteed. The information provided by XGATE Dental Group GmbH does not constitute medical advice or recommendation and is in no way a substitute for professional advice from a physician, dentist or other healthcare professional and must not be used as a basis for diagnosis or for selecting, starting, changing or stopping medical treatment.
Physicians, dentists and other healthcare professionals are solely responsible for the individual medical assessment of each case and for their medical decisions, selection and application of diagnostic methods, medical protocols, treatments and products.
XGATE Dental Group GmbH does not accept any liability for any inconvenience or damage resulting from the use of the content and information presented here. Products or treatments shown may not be available in all countries and different information may apply in different countries. For country-specific information please refer to our customer service or a distributor or partner of XGATE Dental Group GmbH in your region.
